Top.Mail.Ru
Белгород
Пункт самовывоза: Белгород, Коммунальная ул., 18
Зелёный свет
вашей клинике

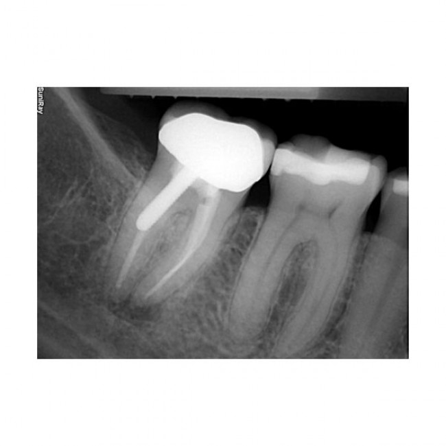
Suni SuniRay2 - система компьютерной радиовизиографии

Suni SuniRay2 - система компьютерной радиовизиографии
Suni SuniRay2 - система компьютерной радиовизиографии
Самый чувствительный датчик в мире!

Радиовизиограф (визиограф) SuniRay производится в США на компании Suni Medical Imaging, которая является пионером в области цифровой рентгенографии, являясь одной из последних ее разработок. Данный визиограф обладает самым чувствительным датчиком в мире и представляет из себя прекрасный баланс формы и функциональности и безопасности.
Производитель
Страна
США;
Гарантия, мес.
12;
Способы оплаты
Доставка
Описание

Радиовизиограф (визиограф) SuniRay - это беспленочная, цифровая дентальная система для преобразования рентгеновского сигнала в компьютерное изображение с возможностью его дальнейшей обработки. В качестве приемника используется удобный пластиковый датчик универсального размера №1 или №2, интегрированный с миниатюрным USB блоком. Радиовизиограф Dr.Suni Plus получает высококачественное изображения с низким уровнем помех, которые мгновенно считываются и передаются на ваш компьютер. Визиограф SuniRay совместим со всеми портативными и стационарными персональными компьютерами, а также со всеми рентгенами и не требует систем синхронизации сигнала, так как имеет сверхчувствительный датчик.

Цифровая диагностика, с использованием радиовизиографа SuniRay, является наиболее безопасной для пациентов из-за максимально сниженной рентгеновской нагрузки. Легкая в применении, эргономичная цифровая диагностика радиовизиографической системы SuniRay, исключает технические (фотолаборатория) и временные неудобства, связанные с обработкой рентгеновской пленки. Данные и рентгеновские снимки пациента быстро и просто заносятся в компьютерную базу данных и легко обрабатываются программой, входящей в комплект радиовизиографической системы.

Радиовизиограф SuniRay вобрал в себя все самые последние достижения в области рентгенодиагностики последних лет и идеально подходит для использования его стоматологическими клиниками, сочетая простоту в эксплуатации с максимальной эффективностью работы врача-стоматолога. Важно, что датчики SuniRay, могут работать с программами многих популярных визиографов и не требуют затратного процесса переноса данных со старой программы на новую.

Преимущества:

  • Прочность и надежность
    • Визиограф SuniRay обладает самым прочным сенсором, представляющим из себя сбалансированную и очень эргономичную конструкцию удобную для пациента.
    • В сенсоре визиографа SuniRay используется усиленное крепление кабеля и ультразвуковая сварка корпуса, что делает датчики невероятно надежными
  • Качество изображения
    • Конструкция микрочипа SuniRay запатентована и в сочетании со специально разработанным сцинсцилятором и 1,2 мм оптоволоконной пластиной дает стабильно высококачественное изображение
    • Датчик разработан с учетом соблюдения идеального баланса между низкой дозой облучения, отношения сигнал-шум, разрешением в парах линий на мм. Все это гарантирует отличное качество изображения при максимальной скорости работы
    • Универсальное программное обеспечение SuniRay снабжено всем необходимым, чтобы гарантировать максимальное качество и удобство работы с массивом рентгеновских изображений
  • Низкая радиация
    • Датчики SuniRay обладают самой высокой чувствительностью на рынке цифровых сенсоров и настроены так, чтобы без ущерба для качества снимка, сделать его при минимальной степени излучения.
  • Комфорт пациента
    • Сбалансированный дизайн датчика обеспечивает комфорт пациенту и защиту датчика от повреждений
    • Размер датчика делает его позиционирование в полости рта пациента удобным и позволяет добиться максимального качества снимка

Технические характеристики:

  • Датчик-матрица CMOS, с усиленным соединением провода и датчика;
  • Размеры датчиков:
    • Датчик «1» - размеры 39,5x26,0 мм
    • Датчик «2» - размеры 43,5x31,5 мм
  • Новейшая противоударная технология датчика
  • Компактный и портативный USB блок
  • Инновационный активный инжекционный фильтр против помех
  • Кристально чистое изображение
  • Ускоренная система вывода снимка на экран
  • Технология безопасного соединения кабеля с блоком
  • Дизайн датчиков с закруглёнными концами для повышения комфорта пациента
Самый чувствительный датчик в мире!

Радиовизиограф (визиограф) SuniRay производится в США на компании Suni Medical Imaging, которая является пионером в области цифровой рентгенографии, являясь одной из последних ее разработок. Данный визиограф обладает самым чувствительным датчиком в мире и представляет из себя прекрасный баланс формы и функциональности и безопасности.


Нужна консультация?
Подробно расскажем о продукции и услугах, подберем оптимальный вариант и предложим лучшие цены!
В связи с резкими колебаниями курсов валют окончательные цены на интересующие позиции просим уточнять у менеджеров компании. x