Лицом к лицу с новыми возможностями

Откройте для себя новую эру цифровой диагностики с 5D, обеспечивающим исключительную точность и повышенную уверенность в каждом лечении.
5D — интуитивно понятное в использовании инновационное решение. Технология автоматической сегментации анатомических структур упрощает анализ сложных деталей, которые было трудно распознать ранее. Кроме того, удобный пользовательский интерфейс обеспечивает максимальную лёгкость в использовании, оптимизируя рабочие процессы и помогая специалистам-стоматологам в достижении выдающихся клинических результатов.
Это не просто визуализация, это революция в КЛКТ-технологии.
5D сегментация

Инновационное решение для обработки изображений на базе технологии КЛКТ
Технология автоматической сегментации анатомических структур упрощает анализ сложных деталей, которые было трудно распознать ранее. Кроме того, интуитивно понятный и удобный пользовательский интерфейс обеспечивает максимальную простоту в использовании, оптимизируя рабочие процессы и помогая специалистам-стоматологам в достижении выдающихся клинических результатов.

Автоматическая нижнечелюстная технология для имплантатов
Технология автоматического трассирования (выделения) нижнечелюстного нерва позволяет точно определить ход канала, обеспечивая безопасность и высокую точность процедур.
Интуитивная визуализация анатомических структур для имплантатов
Выявление расположения соседних зубов, нижнеальвеолярного нерва, расположения имплантата с учётом его угла наклона помогает проводить точную диагностику и консультации, увеличивающие поток пациентов.

Эндо
Визуализация пульпы и корневых каналов в 5D позволяет легче понять внутреннюю структуру зуба. Такая визуализация повышает точность диагностики и помогает составить план лечения с максимально прогнозируемым результатом.
Ортодонтия
Визуализация в 5D дистопированных и ретинированных зубов, а также направление корней позволяет поставить точный диагноз и вывести консультации на новый уровень.

Увеличение потока пациентов
Возможность просмотра 5D и МПР-изображений на одном экране не только совершенствует процесс консультации, но и помогает наглядно увидеть план лечения, тем самым повышая доверие и лояльность пациентов.
Простой и эффективный рабочий процесс
Решение 5D отличается простотой обучения, что позволяет любому человеку быстро адаптироваться к системе. Это упрощает рабочие процессы и помогает специалистам стоматологии легко добиваться отличных клинических результатов.


Раскройте весь потенциал Face-Driven Dentistry: получайте персонализированные и эстетически приятные результаты лечения, фиксируя точную анатомию лица и зубочелюстного аппарата. Передовая технология RAY позволяет получить полную визуализацию зубов и лицевых костей при минимальном воздействии радиации. Всего лишь одно сканирование способно обеспечить быструю и точную обработку данных, гарантируя получение безупречных изображений без искажений. Это открывает вам доступ к всесторонним клиническим перспективам, позволяет уверенно ставить диагнозы и составлять комплексный план лечения.

Свободный FOV
Вы можете наглядно видеть на чём фокусируетесь, благодаря свободному FOV со световым наведением. Видимый рентгеновский указатель Рэйскан указывает на область сканирования. Пользователь может удобно регулировать FOV в соответствии с зоной своего интереса.

Изображения высокого разрешения для точной диагностики
С RAYSCAN вы можете добиться качества изображения с высоким разрешением и настроить объём сканирования в соответствии со своими потребностями.

Сверхбыстрая реконструкция
Благодаря возможности просматривать и анализировать результаты компьютерной томографии всего за 22 секунды, пациенты могут сократить время ожидания и получить быстрое и эффективное лечение.

Беспроводной пульт дистанционного управления для максимального удобства
Наличие беспроводного пульта обеспечивает оператору свободное перемещение и удобство во время позиционирования пациента при его подготовке к процессу сканирования.

Максимальный функционал
RAYSCAN обеспечивает точную диагностику, которая может быть применена в любой сфере цифровой стоматологии: ортодонтия, комплексное планирование лечения, ортогнатическая хирургия, реконструкция лица, травмы, анализ пазух и дыхательных путей, имплантология, эндодонтия, ВНЧС и другие.

Дополнительные возможности
Прорывная система оцифровки зубного ряда пациента без использования дополнительного оборудования – обеспечивает идеальный вывод STL-модели.
Программа оцифровывает непосредственно оттиски без искажений при полном сканировании дуги.

Немедленная техническая поддержка 24/7
Rayguard – это служба мониторинга вашей системы в режиме реального времени 24/7, которая обеспечивает непрерывную работу вашего RAYSCAN.

01 КЛКТ
Сверхбыстрое получение изображенийКогда вам нужно сделать снимок быстрее…
до 4,9 секунды сканирования и 4х секунд 3D-реконструкции!
Когда вам нужно увидеть больше деталей…
до 70 мкм в Endo режиме!
Когда вам нужно увидеть больше анатомии…
область до 16 см реконструируется за 6 секунд!

Сверхвысокое разрешение

КТ-изображение с высоким разрешением в определённой области.
Выполняйте больше процедур за меньшее время.

02 Панорама
Самые современные технологии для обеспечения качества изображения высокой чёткости.

03 Цефалометрия
|
One Shot Cephalometric визуализация позволяет получать изображения менее чем за 1 секунду, чтобы уменьшить их искажение. Выберите один из двух размеров цефалометрических датчиков. Сканирующий цефалостат также доступен для уменьшения общей площади устройства. One Shot Cephalometric Наш ультрасовременный плоскопанельный детектор (FPD) обеспечивает новый уровень производительности и надёжности при одновременном снижении радиационного облучения и искажения изображения из-за движения пациентов. Доступны два различных размера FPD. Сканирующая цефалометрия Сканирующий модуль цефалостата позволяет клиницистам расширять свои диагностические возможности, сводя затраты к минимуму. |
|
04 Скан моделей в сочетании с решением RAYDENT
Сканирование моделей – это прорывной метод 3D-сканирования для получения 3D-данных с оттисков и гипсовых моделей.
- Цифровое производство стоматологических моделей в клинике или лаборатории
- Области применения включают изготовление коронок и мостовидных протезов, хирургических шаблонов, эндо-шаблонов, элайнеров и т.д.
- Поддержка онлайн-моделирования
- Непрерывный рабочий процесс от компьютерной томографии до 3D-печати

В стоимость аппарата входит:
- мощный компьютер
- монитор
- клавиатура на английском языке и мышка
- программное обеспечение
- беспроводной RF-пульт управления
Инновации в томографах RAYSCAN
Они имеют эргономичный и компактный ультрасовременный дизайн. В специальной конструкции аппарата предусмотрены технические возможности, позволяющие в дальнейшем дооснастить томограф RAYSCAN Alpha 3D (ортопантомограф с функцией 3D) цефалостатом. Такой аппарат – это очень рациональное приобретение с поэтапным вложением средств. Панорамный рентген-аппарат не придётся менять, а если в дальнейшем появится необходимость в цефалостате, достаточно будет заказать необходимую опцию, которая будет установлена на имеющийся аппарат.

Уникальные функции
Большой встроенный сенсорный монитор с диагональю экрана 10 дюймов обеспечивает удобное управление настройками без использования клавиатуры и мышки. Ввод параметров выполняется непосредственно на экране монитора. Возможность предварительного просмотра снимков на сенсорном мониторе позволяет быстро принять решение о необходимости повторного сканирования. Alpha – это первый подобный аппарат в мире, который оснащён беспроводным RF-пультом управления. Наличие беспроводного пульта обеспечивает оператору свободное перемещение и удобство во время позиционирования пациента при его подготовке к процессу сканирования.
Высокое качество снимков и удобство использования
Высокое качество снимков
RAYSCAN является передовым диагностическим оборудованием и оснащён двумя детекторами, отдельно для панорамной съёмки и для съёмки в 3D.
Для панорамных снимков применяется специальный плоско-панельный детектор производства компании HAMAMATSU (Япония). Высококачественный детектор обеспечивает получение отличных снимков с первого раза. Отсутствие необходимости повторных сканирований избавляет пациента от лишнего облучения, а также снижает излишнюю нагрузку на сам аппарат, тем самым увеличивая срок его службы.
Для получения изображений в 3D применяется специальный медицинский детектор производства компании Samsung Electronics (FPD). Качество детектора обеспечивает чёткое изображение даже для волос и мягких тканей, также данный детектор имеет различные режимы сканирования.

Быстрая настройка параметров сканирования
Каждый пациент имеет разную форму и размер челюсти, поэтому для получения качественных снимков необходимо учитывать эти индивидуальные особенности. При настройке аппарата предусмотрены 7 анатомических режимов, которые позволяют быстро ввести параметры съёмки с учётом индивидуальности пациента (размеры тела пациента: крупный, нормальный или худой; размер челюсти: взрослый пациент или ребёнок; проекции: височно-нижнечелюстные суставы (ВНЧС) или верхнечелюстные пазухи (Синус).
Инновации для экономии времени и достижения поставленных результатов

Инновационный сканер лица RAYFace помогает быстро и качественно выполнить процедуру сканирования лица пациента всего лишь за 0.5 сек. А возможность дальнейшего дизайна улыбки и опция использования виртуального артикулятора наглядно демонстрирует информацию о лечении пациенту.


Вариации 2D-исследований
Программы панорамной съёмки:
- стандартная панорамная съёмка,
- стандартная панорамная съёмка для детей,
- панорамная съёмка широкой зубной дуги,
- ортозональная панорамная съёмка,
- ортогональная панорамная съёмка,
- съёмка верхнечелюстных пазух (Синус),
- латеральная проекция (открытого и закрытого) височно-нижнечелюсного сустава (ВНЧС).

Широкие возможности настройки изображения
Изображение панорамной съёмки можно настраивать по усмотрению оператора. Оно может быть «мягкое», нормальное или контрастное.


Низкая доза в сочетании с высоким качеством, удовлетворяющим любым запросам
Технология регулируемого движущегося фокуса
Технология регулируемого движущегося фокуса (AMF) оптимизирует фокальную область во время панорамного захвата, обеспечивая повышение чёткости и снижение риска повторного сканирования.
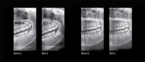
Сниженная доза облучения и технология расширенной обработки изображений
Наши алгоритмы расширенной обработки изображений позволяют удалить помехи с изображения и выделяют края при меньшей дозе облучения и сокращённом времени экспозиции. Оптимизированные педиатрические обследования в дальнейшем позволят снизить лучевую нагрузку с сохранением качества изображения при лечении детей.
Линейка КЛКТ аппаратов RAYSCAN не требует ручной смены детекторов для проведения различного типа исследований

Изображения высокой чёткости
Высокоэффективные детекторы и наша передовая технология обеспечивают превосходную чёткость изображений с подробными клиническими данными, включая даже контур мягких тканей.
Регулируемая зона визуализации
Моторизованная коллимация позволяет настроить зону визуализации цефалометрического анализа соответственно потребностям каждого клинического случая. Это позволяет вам сканировать каждого пациента с получением оптимального по размеру изображения без применения излишней дозы облучения.
Отсутствие ограничений по размеру
Наша современная технология поддерживает лучшее в мире решение по изменению формата цефалометрического изображения.
Размеры изображения варьируются от 17х15 см до 33х33 см. (OneShot Ceph).
Сведение к минимуму помех от движения на изображении
Новейшая технология подавления помех гарантирует высокое качество изображения за счёт уменьшения шумов на снимке, связанных с движением пациента.

Лучшая в отрасли чёткость изображения
Наилучшая чёткость изображений конусно-лучевой компьютерной томографии с разрешением до 70 мкм (доступно в протоколе эндодонтии).
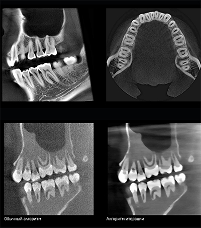
Полная реконструкция изображения
Наши недавно разработанные алгоритмы реконструкции изображения обеспечивают создание более чётких изображений при резко уменьшенной дозе рентгеновского излучения.
Алгоритм итерации, который широко используется в медицинской компьютерной томографии для снижения дозы рентгеновского излучения и увеличения качества изображения, применяется к определённым протоколам RAYSCAN α+.
Алгоритмы реконструкции изображения значительно сокращают время обработки рентгеновских данных благодаря эффективному использованию графического процессора, специально настроенного на ускорение процесса создания изображений.
Например, алгоритмы воспроизводят 3D-изображения протокола JAW менее чем за 1,5 секунды.
Точное время вывода изображения на экран может изменяться в зависимости от конфигурации компьютера и сети

Свободное трансформирование зоны визуализации и её многочисленные предустановки

Выберите одну из предварительно заданных зон визуализации и трансформируйте её размер на своё усмотрение, пока зона не будет отвечать вашим требованиям диагностики. Эта функция позволяет ограничить область изображения зоной визуализации с точно заданными размерами.
Каждый вариант зоны визуализации предназначен для определённой клинической ситуации и может быть далее отрегулирован с учётом всех факторов конкретного случая.
(Минимальный размер: 3х3, максимальный: 16х10 или 12х10).

Широкие сетевые возможности и совместимость с DICOM 3.0
Благодаря поддержке PACS и TWAIN программа SMARTDent выводит сетевые возможности и взаимодействие на новый уровень.
- 16-битовая полнопрофильная система обработки рентгеновских изображений
- Взаимодействие с системой передачи и архивации изображений (PACS)
- Печать DICOM и запись на CD/DVD
- Поддержка TWAIN
- Поддержка сенсорных устройств для операционной системы Windows
Мастерство 3D-диагностики
- Высокопроизводительное программное обеспечение для получения и обработки изображений
- Обширная библиотека имплантатов

Удобная программа для любых целей
OnDemand3D™ представляет собой модульный пакет программного обеспечения с широким спектром функциональных возможностей для соответствия различным требованиям в различных модулях.
Помимо двух базовых пакетов с предварительным набором данных и модулей, в программном обеспечении предусмотрены также дополнительные модули и программы для специального применения.
OnDemand3D™ Dental – обзор
Приложение Dental предназначено для работы с малыми и средними объёмами цифровых данных для проведения базовой диагностики и планирования дентальной имплантации. OnDemand3D ™ Dental включает следующие модули:
- менеджер базы данных с подключением к системе PACS,
- Dynamic Light Box,
- Dental (Стоматологический модуль),
- планирование дентальной имплантации,
- быстрый отчёт,
- X-отчёт,
- Windows и сервис для печати DICOM printing.
Благодаря модульной структуре программное обеспечение OnDemand3D™ является гибким и легко расширяемым. Модули связывают отдельные функциональные группы в одно логическое соединение.
Стоматологический объёмный (трёхмерный) реформат (DVR)
Модуль DVR обеспечивает получение специальных стоматологических изображений в режиме 3D: томографические снимки, поперечные срезы, томограммы для анализа ВНЧС и 3D-визуализацию анатомических структур (рендеринг объёма).
Dental (стоматологический модуль)
Модуль Dental предлагает большую часть функций модуля DVR, однако его использование значительно упрощено за счёт ограничения количества основных функций. В отличие от модуля DVR, в модуле Dental также предусмотрены функции из модуля 3D, например, 3D Zoom для увеличения объёмного изображения.
Планирование дентальной имплантации
Планирование дентальной имплантации является элементом модулей DVR и Dental. В программе предлагается большой выбор дентальных имплантатов широкого спектра производителей. Хирурги-имплантологи могут задавать и сохранять свои параметры дентальных имплантатов. Визуализация костной ткани, измерение её плотности, оценка расстояния от имплантата до нижнего альвеолярного нерва – это всего лишь несколько примеров основных функций, предлагаемых программой.

Технические характеристики
Стоматологический объёмный (трёхмерный) реформат (DVR)
Модуль DVR обеспечивает получение специальных стоматологических изображений в режиме 3D: томографические снимки, поперечные срезы, томограммы для анализа ВНЧС и 3D-визуализацию анатомических структур (рендеринг объёма).
Рабочая станция OnDemand 3D
Процессор Dual Core с тактовой частотой 2 ГГц или выше
Память мин. 3 Гб
Жёсткий диск мин. 1 Гб свободного объёма (для одного клиента); рекомендуется 250 Гб для данных DICOM при условии, если это единственный ПК
Дисплей разрешение мин. 1280×1024×24 бит
Графическая карта ATI или Nvidia (без интегрированных графических решений)
Операционная система Windows XP (SP2), Windows 7 32/64-битная или более поздней версии
Мышь мин. двухкнопочная, рекомендуется мышь с колесом прокрутки
OnDemand 3D Server
Процессор Dual Core с тактовой частотой 2 ГГц или выше
Память мин. 3 Гб оперативной памяти
Жёсткий диск не менее 1 Гб свободного пространства. Рекомендуется 250 Гб для данных DICOM
Операционная система любая версия Windows Server Edition или Windows XP Professional (SP2), Vista Business/Ultimate,
Windows 7 Pro/Ultimate 32/64-битная
Программное обеспечение MSSQL Server Express 2005/2008
& Техническая поддержка
Rayguard – это служба мониторинга вашей системы в режиме реального времени 24/7, которая обеспечивает непрерывную работу вашего RAYSCAN. Вы можете не переживать, все проблемы будут решены ещё до того, как вы об этом сообщите.
Немедленная техническая поддержка 24/7.





